Common Slip and Fall Injuries
Slip and Fall Accidents cause many people to suffer from very serious injuries. These accidents are often entirely unexpected, happening anywhere and to anyone.
Slip and fall incidents are a very common form of accidental injuries. The types of injuries that can occur in a slip and fall accident can range from mild to severe, depending on the circumstances of the accident.
Slip and fall accidents will often lead to emergency room visits, and they need for on-going rehabilitation or therapy.
Some of the most common types of slip and fall injuries include the following.

Head Injuries
Head injuries are quite common when someone is involved in a slip and fall accident. Whether the accident occurs indoors or outdoors, there is a wide range of objects that may be in the way when someone is falling. Banging your head up against a table, chair, or even the ground can make what might have been a minor accident turn very severe.
Falling and hitting your head can cause swelling or bleeding, both internally and externally. Head injuries should never be ignored, even if there doesn't seem to be immediate damage. No matter how inconvenient it may seem, seeing a doctor first thing after hitting your head should be your top priority.
In the event that a traumatic brain injury occurred during the accident, the victim could be left with very serious side effects that last for months or even years. Traumatic brain injuries can be very dangerous, and often the victim does not realize the severity of their injury, especially if treatment is pushed aside.
Spinal Cord Injuries
Spinal cord injuries happen when the spinal cord becomes compressed or severed. The spine and nerves are very fragile, so when a slip and fall occurs, nerve damage is a common result.
These injuries can cause permanent damage, and often demand immediate medical attention as well as on-going treatment.
In general, the higher the injury is on the spinal cord, the more severe the damage will be. Depending on the severity of the accident, full paralysis or partial paralysis can occur if damage to the spine is extensive.
Soft Tissue Injuries
Soft tissue injuries are not outwardly visible. In a slip and fall accident the tendons, ligaments, or muscles can become strained or sprained during the fall. These injuries most often occur to the ankles or wrists due to the nature of the accident.
Often in a slip and fall, an arm is put forward or backward to try and catch ourselves. Many victims also twist and ankle during the fall because of an unusual or wrong step. These are both common ways to suffer a soft tissue injury.
Sometimes people mistake a soft tissue injury for soreness related to their fall; however, if left untreated for too long, soft tissue injuries can cause chronic pain and make you more susceptible to later injuries in the same area.
Ligament sprain or strain injuries often require rehabilitation and therapy for quite some time before the injury is fully healed.
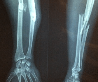
Broken Bones
Breaking bones, any bone, can be very painful and scary. Breaks can range from a minor fracture to requiring extensive surgery to fix. It's also common for the tissue surrounding the broken bones to become damaged, which can cause chronic pain and neuromuscular dysfunction.
One of the most common bones to break in a slip and fall accident is the hip bones. While a broken hip is most often associated with older people, in a slip and fall accident, anyone can break their hip. This injury can be devastating, requiring surgery and a long recovery. This is even more true for the elderly.
Cuts and Bruises
Cuts and bruises from a slip and fall accident are not often severe. Abrasions to the legs and arms are quite common, and in most cases, these injuries only require superficial treatment. On the other hand, abrasions to the head can be a little more severe, and as mentioned earlier, every head injury needs to be taken seriously.
Cuts and bruises can result from any external or internal damage that occurs during a slip and fall accident. Although a cut or bruise may seem minor, they should still be documented before the victim leaves the scene of the accident.
Have your Slip and Fall Injuries Assessed by an Experienced Chiropractor
If you were involved in a Slip and Fall Accident in Florida, it's essential to have your injuries assessed by an experienced chiropractor.
After a slip and fall accident occurs, seeking immediate treatment is very important for your health but also for a potential accident claim. If you believe you were hurt because of another's negligence, you will be able to seek compensation for your injuries.

Waiting too long to seek treatment could potentially harm your claim, and you could not be offered the full amount of compensation that you deserve.
Getting the treatment you need after an accident will help to ensure you recover quickly and do not put yourself at risk for prolonged injury, or worse, surgery.
Chiropractic Care is an all-natural treatment method that is non-invasive and does not mask pain symptoms by prescribing pain medications. Chiropractors treat the injury at the source to ensure each patient makes a full and optimal recovery.
The experienced Chiropractors at Florida Spine and Injury specialize in treating slip and fall accident victims. Our doctors have many years of experience helping the injured with the treatment and recovery needs.
If you were involved in a Slip and Fall Accident in Florida, click the link below to schedule a free consultation with our highly trained and dedicated Chiropractors today.
-1.png?width=120&height=108&name=Ethos%20Health%20Group%2c%20(1)-1.png)




Leave a Comment